ブログ
小児歯科治療、1歳6ヶ月検診、子供の虫歯、定期検診、予防指導、歯科相談
入間市で歯周病に力を入れている水村歯科医院です。
昼休みを削って、1歳6ヶ月検診に入間市健康福祉センターに行って来ました。
いつものように、大泣きのお子さんが多かったですが、色々な質問に答える事が出来き、逆にお母さん達の素直な悩み事も聞けて良い学びになりました。
正しい知識がないと、お子さんの口腔ケアーしいては健康に悪影響を及ぼします。その時に本当に困るのはご両親ではなく、お子さんですから。
今回、質問に答えてみます。
指しゃぶりをしますが、やめさせるにはどうしたら良いでしょうか?
3歳ころまでは無理にやめさせる必要はないでしょう。4歳以降も頻繁に続く場合は、歯並び やあごの形に影響したり、舌や唇の動き、口の働きの発達がうまくいかない場合もあります。お子さんの生活リズムを整え、外遊びや運動をさせてエネルギーを十分に発散させたり、手や口を使う機会を増やす様にします。また、寝付くまでの間、お子さんの手を握ったり、絵本を読んであげたりしてお子さんを安心させましょう。
仕上げ磨きをいやがります。どうしたら上手く磨けるでしょうか?
かみ合わせが反対の様なのですが心配です。
沢山の質問に的確に答えて、お母さんを安心させる事ができました。
![]()
前医で長期治療にも関わらず予後不良で、患者さんが当院で目覚ましい改善がみられた1症例、審美歯科治療
入間市で歯周病に力を入れている水村歯科医院です。
都内から来院された患者さんです。
数年に及ぶ治療が終了したにも関わらず、数か月で同じ場所が腫れて膿んでくるの繰り返しで、一向に改善されないとの事でした。
聞いてみると、治療内容が手術を伴いその度に苦痛でもうオペはしたくないのですと、困っていました。
専門的な内容になるので簡単に話します。
レントゲン等で診断すると根の先が短くなっていて、歯根吸収と考え予後は良くないと判断しました。
初期治療として難易度がMaxでしたが根管内の感染物質の処置をしたところ、患者さん本人も驚くほどに予想以上の改善がみられました。
ただ、この治療には数か月を費やしました。
予想以上の良好な結果が得られ、信頼関係を築けました。
ただ、今回は入間市で開業している私のクリニックで出来る最大限の処置をし、結果を待つという心境でした。
入間市で開業している私のクリニックで出来る限りの感染源除去を行い、良好な結果が得られたので審美歯科治療へ移行しました。
患者さんの感想です。
長年にわたり通院した前医では、膿んで腫れる度に麻酔をし苦痛を伴って辛かったにもかかわらず、また腫れて再発し、歯を抜いて入れ歯になるんじゃないかと不安でした。
今回、腫れも全くなく噛んでも違和感がなく、しかも治療中に苦痛なく良くなりましたとの事でした。
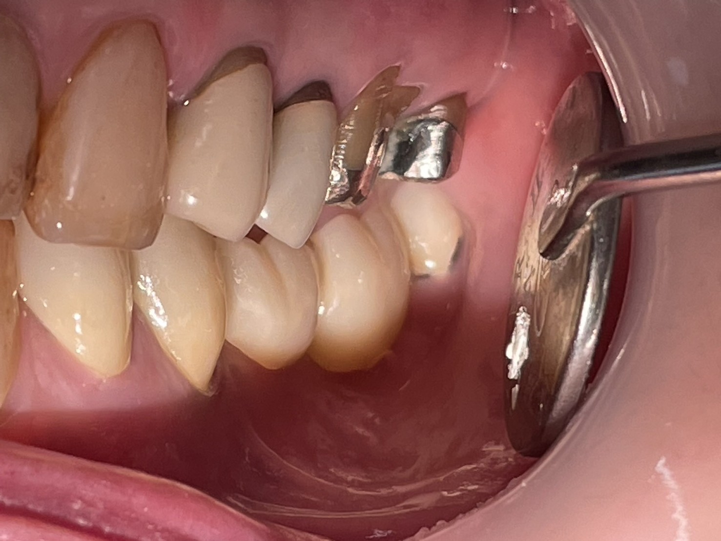
写真は、綺麗なジルコニアクラウンブリッジが装着出来ました。
見た目が綺麗なのは当たり前で、それまでの見えない部分の治療過程が重要と思って、日々診療にあたっています。

お問合せ



