ブログ
前回の審美歯科治療の補足
入間市で歯周病治療に力を入れている水村歯科医院です。
前回6月4日のブログの補足しておきますね。
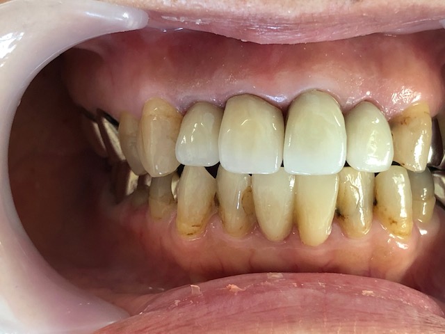
4月のブログの写真を比べれば判ると思いますが、今のところ審美歯科治療を施行した歯は上の前歯4本と下の歯2本です。
歯周病治療を併用した審美歯科治療、エステティック
入間市で歯周病治療に力を入れている水村歯科医院です。
4月1日のブログの患者のその後をお伝えします。
まずは4月1日のブログを読んでから、これを観て頂く方が歯周病治療に力を入れている水村歯科医院の思いなどが判り、より治療の流れや方針が判りやすいかと思います。
まだ、治療は続きますが患者さんの満足は得られましたから、嬉しいですしほっとしています。
最終的にはメインテナンスに移行し、生涯今の状態が維持出来るようにしていきたいです。
もし、このブログを観ていて以前に入間市で歯周病治療に力を入れている水村歯科医院で治療を終えて以降、まだ来院されていない患者さんは、歯の状態が良いと思っていても、一度来院して下さい。
自分では良い状態と思っていても、どこにも支障がないとはいえません。今の状態を維持するには定期的なメインテナンスが不可欠なんです。
お待ちしています。
どの先生方も思っているとは思いますが、特に私は一連の治療の流れ(特に長期間)を把握していた先生がメインテナンスにあたった方が患者さんの思いなども承知しているので、より良い結果がうまれるでしょう。その患者さんの以前の状態を把握している事は強みだと考えます。大学病院でもそういう意味で担当医制を活用しています。
今回も、歯周病治療、光殺菌システムペリオウェイブ、審美歯科治療、痛くない治療などを併用した症例でした

お問合せ

