ブログ
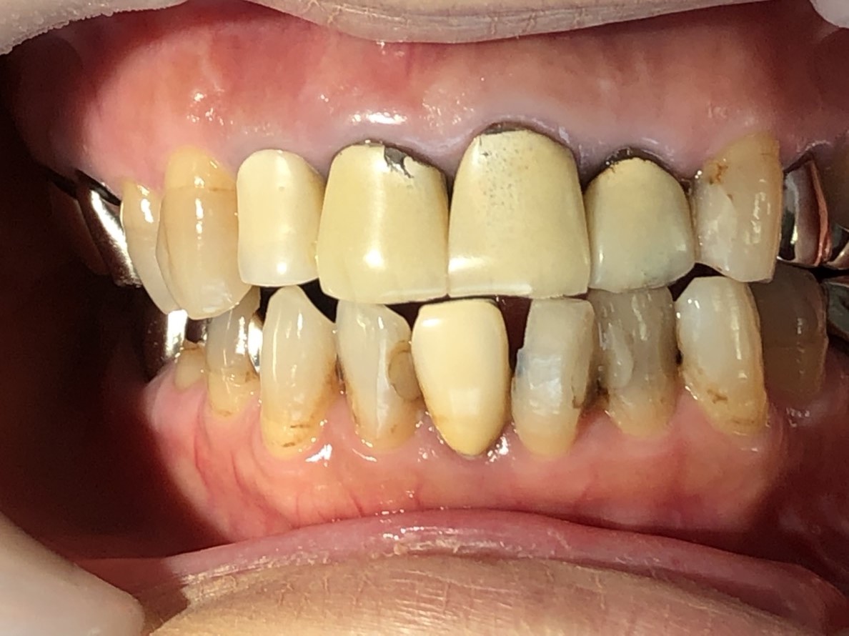
審美歯科治療を希望し来院された患者さん
入間市で歯周病治療に力を入れている水村歯科医院です。
1月20日にアップした患者さんの経過を掲載します。
歯周病治療から始まり、根管治療を終え審美歯科治療の途中経過です。
患者さんは前歯だけを綺麗にしたいと来院されたのですが、他の奥歯も続けて治療希望したので、引き続き治療を進めています。
審美歯科治療を希望した患者さんへの歯周病治療も含めたアプローチの1症例
コロナ禍で非常事態宣言が発令して厳し状況が続いています。
入間市で歯周病治療に力を入れている水村歯科医院です。
私のクリニックでは所沢、飯能、狭山、瑞穂、青梅、東京都内から、きれいな歯、エステティックすなわち見た目、審美が気になり治療を希望した患者さんにはただ見た目ではなく、見えない部分(根の状態等)も大事だと説明し、そこからスタートします。古い薬が入っているので根の治療は必ず行います。歯茎が下がり被せ物との隙間があると、歯槽膿漏が進行しているケースが殆どです。今回、下の前歯2本と上の前歯4本をやり直したいとの事でしたがレントゲンの結果、昔の古い金属の深い土台が入っていました。根を折らずにこの長く深い土台を除去する事は技術的に困難でリスクを伴ないましたが、本人の希望もあり出来る事は全てし、歯を折らずに根の治療を終える事が出来ました。これも経験があった上の自信ですから、患者さんの要望に答える事が出来ました。間違ってはならない事は、決して勘で治療してはいけません!なぜならば、医療は科学だからです。(これは研修医時代の恩師の教えでもあります)
昔の治療は当時は良かったのですが、医療は日進月歩ですから20年以上経過すると最新の治療がよいでしょう。
その後の治療計画です。入間市で歯周病治療に力を入れている水村歯科医院では、歯ぐきの治療、歯槽膿漏、歯周病治療を審美歯科治療の合間に施行します。光殺菌システムペリオウェイブ、レーザー治療も併用しました。
だからこそ良い歯ぐきの状態、良い治療が出来ます。
写真の患者さんは6カ月以上前に来院された時の写真です。半年かけたお陰で、始めて良い治療ができるんです。それくらいかけて徐々に歯ぐきを良くしていくのです。
患者さんがどうなったかは後日アップロードします。素敵な笑顔を取り戻した事は間違いありません。
他の歯も治療予定です。
新年明けましておめでとうございます。本年も宜しくお願い致します。
入間市で歯周病治療に力を入れている水村歯科医院です。
今日から新年の診療のスタートです。
緊急事態宣言が発表され今後どうなるんでしょうか心配です。
午前中はクリニックの診療が始まる事を待っていてくれた患者さんから、治療の依頼の電話がひっきりなしでしたが、なんとか当日の予約の合間で診察出来良かったです。
今年も昨年以上に患者さんから信頼されるクリニックをスタッフ一同頑張って作り上げれればと考えています。
本年も宜しくお願い致します。
新年明けましておめでとうございます
患者さんの皆さん、新年明けましておめでとうございます。
入間市で歯周病治療に力を入れている水村歯科医院です。
本年も微力ではありますが地域医療に貢献できるよう心がけていきますので、宜しくお願い致します。

お問合せ




