目立たない入れ歯、痛くない入れ歯、ナチュラルデンチャー、入れ歯を入れている事が判らない
入間市で歯周病治療に力を入れている水村歯科医院です。
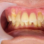
今回は歯槽膿漏で苦しんでいた患者さんです。
ただ歯周病治療のみで治療を終わりにしたら、また数年後には同じように不具合を訴えてくるでしょう。今回は歯槽膿漏の治療と並行してかみ合わせ治療、痛くなくしっかりと噛める入れ歯の治療も行いましたので報告いたします。
保険の入れ歯は良くないとの申し出があり、金属のバネがないナチュラルデンチャーを希望されました。
痛くない入れ歯装着後、本人はとても満足してくれて、嬉しい限りです。
ナチュラルデンチャーの特徴を伝えます。
スーパーポリアミドというナイロン系の素材で出来ている為、薄く軽い仕上がりです。
弾力性に優れた素材の為、破切にも強い!たいへん、軽い
ナチュラルデンチャーを装着した時色調が同じなので、入れ歯が入っているとは、だれも気が付きません。
たまに私も入れ歯とは気がつかない事あります。
金属を使わないので金属アレルギーの心配もありません。
私のクリニックではこの治療を取り入れてから20年以上経ちます。数百人の患者さんに使って貰っています。評判は非常に良いです。
一度この柔らかい入れ歯をいれると、保険の入れ歯は入れられませんと良くいわれます。
それだけ身体の一部として入れ歯の患者さんには、最高の物なのでしょう。
私もそう肌で感じています。
まがい物、粗悪な材質の物には十分注意して下さい。色々ありますから。 写真をみればしっかり美味しいごはんが食べれるか判ると思います。この患者さんの幸せに係る、こんな治療を続けたいです。



お問合せ
