症例集
オールセラミックの症例
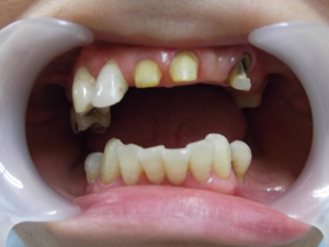
前歯をオールセラミックによって改善したいとご来院されました。

根の上に「ファイバーコア」とよばれる土台を準備いたします。

仮歯を装着した状態です。

オールセラミックをセットした状態です。



オールセラミックのブリッジがセットされ、自然な笑顔を取り戻しました。
ジルコニアの症例
赤丸部分の1本がジルコニアです。パッと見ただけではどの歯がジルコニアか分かりません。
メラニン色素除去(歯ぐきのくすみの改善)の症例
症例1
歯ぐきに着色があります。
歯ぐきの着色が気にならないような状態に改善されました。

症例2
歯ぐきに着色があります。

歯ぐきの着色が気にならないような状態に改善されました。
ラミネートベニアの症例
先天性な着色があります。






着色が目立たなくなり、自然な口元を取り戻しました。
入れ歯症例1




入れ歯症例2




入れ歯症例3





お問合せ

